知って得する病気の話_病理診断科のはなし(病理診断科)
[2025年9月18日]
ID:550
ソーシャルサイトへのリンクは別ウィンドウで開きます
【病理診断科のはなし】
病理診断科は「病理診断」を主たる業務とする診療科です。患者さんとお会いする機会の殆どない特殊な診療科であるため,一般の方々にはあまり知られていませんが,さまざまな病気の診療において大変重要な役割を担っています。今回はいつもの「病気のはなし」とは少し趣向が異なりますが,病理診断科の診療内容および特色についてご紹介いたします。
【病理診断科の診療内容】
当科の取扱う病理診断は,組織診断,細胞診断および病理解剖の3つに分類されます。組織診断と細胞診断の一部については術中迅速診断(後述)として行っています。・組織診断
組織診断とは,細胞,線維,体液などから構成される塊である「組織」をみて病気の診断を行うことをいいます。具体的には,試験的あるいは治療目的に患者さんから採取された組織を,肉眼および顕微鏡で観察し,病気の有無,性質,進行の程度などを判断しています。

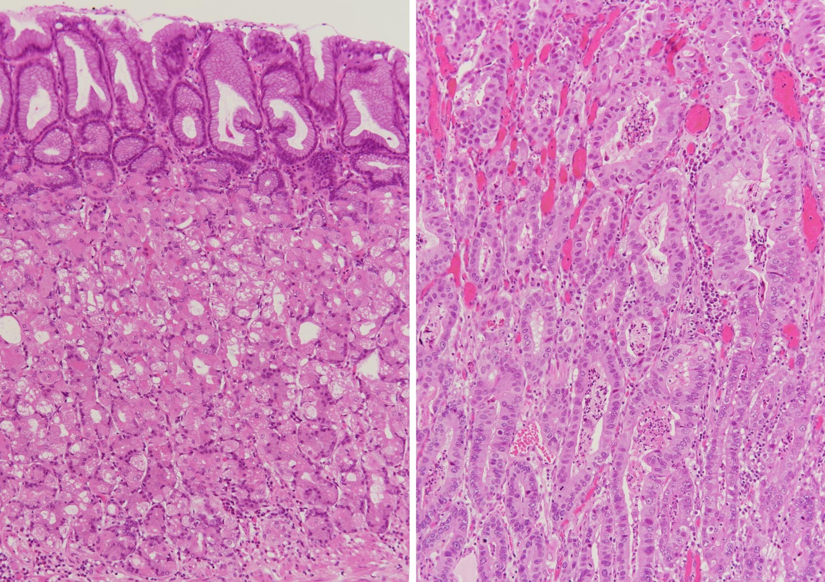
一例として,胃がんを疑う患者さんの場合,胃カメラの検査中に採取された小さな組織を観察し,本当にがんかどうかやがんの種類を決定しています(写真 左:正常の胃,右:がん)。

がんの治療においては,何らかの理由により安全に組織を採取できない場合等を除いて,治療開始前に組織診断を行い,がんの存在やその性質などを確認しておくことが原則となっています。最終的な病気の診断については,さまざまな検査結果等を総合して主治医が行いますが,その際に最も大きな影響を与える情報の一つが組織診断であるといえます。
・細胞診断
細胞診断とは,組織の一部を構成する「細胞」をみて病気の診断を行うことをいいます。健康な方でも,子宮頸がんの検診等で経験された方が多くいらっしゃると思います。痰や尿に含まれる細胞,臓器や病変の表面からヘラ等で擦り取った細胞,病変の中に針を刺して吸引した細胞などを観察します(写真 肺癌の細胞)。
組織全体を観察することができないため,組織診断と比較すると評価できる事項がやや限定されますが,患者さんの負担が少ないことや広い範囲から病気を見つけ出すのに適する(たとえば,尿の細胞診断の場合,その通り道である腎盂(じんう),尿管および膀胱のすべての細胞が含まれるため)といった利点があります。
・術中迅速診断
前述の組織診断および細胞診断のうち,手術中に採取された検体を,特別な方法を用いて15分程度の短時間で処理し,速やかに診断を行うことを術中迅速診断といいます。具体的には,事前に組織診断を実施できていない病変が本当にがんかどうかを手術中に判断したり,切除された組織の端を観察することによってがんが完全に取り切れているかを手術中に確認したりします。これらの結果を参考にして,執刀医が手術の方針を決定します。
・病理解剖
病理解剖では,入院中に亡くなられた患者さんのご遺体を解剖させていただくことにより,病気の広がり,治療の効果,生前の診断の妥当性などを検証します。主治医がご協力をお願いする場合やご遺族の希望により行う場合がありますが,いかなる場合でも必ずご遺族の承諾を得たうえで,解剖に関する国家資格を保有する医師が執刀します。結果は主治医を通じてご遺族へ説明しますが,詳細な解析を行うため,最終的な報告までに数か月を要することがあります。解剖で得られた貴重な知見は医療の進歩に大きく貢献します。
【当院の病理診断科の特色】
・常勤の病理専門医の配置
病理診断は医師および歯科医師に限り実施可能な医行為です(ただし,歯科医師については口腔領域のみ)。法的には医師であれば診療科を問わず行うことができますが,極めて高度な知識を要する専門性の高い分野であるため,日本国内では病理診断を専門とする医師(病理専門医)が専ら担当しています。病理専門医は全国に2,789名(2025年4月現在)しかいないため,総合病院であっても常勤の病理専門医を雇用できない施設が存在します。そのような状況のなかで,当科では安定的に病理専門医を確保して診療にあたっており,医療の質の向上に大きく貢献しています。
・大学や近隣医療機関との連携
病理診断で扱う病気の範囲はとても広いため,その種類によっては,一般の病院では十分な診断ができない場合がごく稀にあります。当科では,近隣の大学医学部等と密接な協力関係を築いており,必要に応じて当該分野の専門家に意見や技術的な援助を求め,精度の高い病理診断を行うことが可能です。
Copyright(C) Hikone Municipal Hospital. All Rights Reserved.